پلاستیکها اکنون همهجا حضور دارند و قطعات ریز آنها در چندین عضو مهم بدن انسان، از جمله جفت، یافت شده است. با توجه به اینکه ذرات میکروسکوپی بهراحتی به بافتهای ما نفوذ میکنند، ضروری است که دقیقاً بفهمیم چه خطراتی ممکن است برای سلامتی ما ایجاد کنند.
محققان در حال بررسی تأثیر میکروپلاستیکها بر روی نسخههای مینیاتوری اندامها و موشها بودهاند تا دریابند این ذرات چگونه میتوانند بر بدن انسان تأثیر بگذارند. با این حال، غلظت میکروپلاستیکهای مورد استفاده در این مطالعات ممکن است منعکسکننده میزان واقعی مواجهه انسانها با این ذرات نباشد و مطالعات کمی روی انسان انجام شده است.
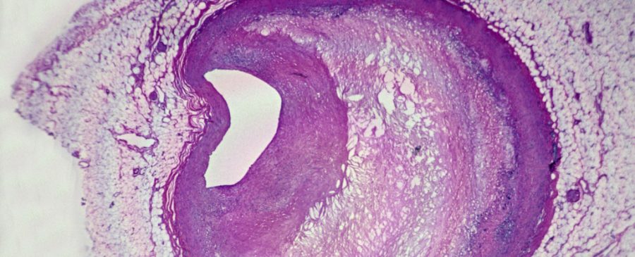
در مارس، یک مطالعه کوچک در ایتالیا، قطعات میکروپلاستیک را در رسوبات چربی که طی عمل جراحی برای باز کردن شریانهای مسدود بیماران برداشته شده بود، شناسایی کرد و وضعیت سلامت آنها را تقریباً سه سال بعد بررسی نمود.
برداشتن پلاکهای چربی از شریانهای تنگشده در یک عمل جراحی به نام اندآرترکتومی کاروتید، خطر سکتههای مغزی آینده را کاهش میدهد. تیم تحقیقاتی این مطالعه اخیر، به سرپرستی رافائل مارفللا، پژوهشگر پزشکی دانشگاه کامپانیا در ناپل، به این سؤال پرداخت که خطر سکته مغزی، حملات قلبی و مرگ در بیمارانی که میکروپلاستیک در پلاکهایشان داشتند، چگونه با بیمارانی که پلاستیک نداشتند، مقایسه میشود.
پس از پیگیری ۲۵۷ بیمار به مدت ۳۴ ماه، محققان دریافتند نزدیک به ۶۰ درصد آنها دارای مقادیر قابل اندازهگیری پلیاتیلن در پلاکهای برداشتهشده از شریانهای چربشده خود بودند و ۱۲ درصد نیز پلیوینیل کلراید (PVC) در رسوبات چربی استخراجشده داشتند.
PVC در اشکال سخت و انعطافپذیر تولید میشود و در ساخت لولههای آب، بطریهای پلاستیکی، کفپوش و بستهبندی کاربرد دارد. پلیاتیلن رایجترین پلاستیک تولیدی است که در کیسهها، فیلمها و بطریهای پلاستیکی نیز استفاده میشود.
با توجه به یافتههای پیشین که نشان میدهد میکروپلاستیکها در جریان خون انسان جریان دارند، محققان نگرانی منطقی در مورد سلامت قلب داشتند.

مطالعات آزمایشگاهی نشان میدهند که میکروپلاستیکها میتوانند در سلولهای قلب التهاب و استرس اکسیداتیو ایجاد کنند، عملکرد قلب را مختل کنند، ضربان قلب را تغییر دهند و باعث ایجاد زخم در قلب حیواناتی مانند موش شوند.
رافائل مارفللا و همکارانش مینویسند: «دادههای مشاهدهای از مطالعات مرتبط با مواجهه شغلی نیز نشان میدهد که افراد در معرض آلودگی ناشی از پلاستیکها، از جمله پلیوینیل کلراید، در مقایسه با جمعیت عمومی، با خطر بیشتری برای بیماریهای قلبی-عروقی مواجه هستند.»
در این مطالعه، بیمارانی که میکروپلاستیک در پلاکهای برداشتهشده آنها وجود داشت، ۴.۵ برابر بیشتر از افرادی که پلاستیک قابل تشخیص نداشتند، طی ۳۴ ماه دچار سکته، حمله قلبی غیرکشنده یا مرگ از هر علت شدند.
میزان میکروپلاستیکها و ذرات کوچکتر موسوم به نانوپلاستیکها با استفاده از تکنیکی به نام پیرولیز–کروماتوگرافی گازی–طیفسنجی جرمی اندازهگیری شد و حضور آنها با روش دیگری به نام تحلیل ایزوتوپ پایدار تأیید گردید، روشی که میتواند کربن بافتهای انسانی را از کربن پلاستیکهای تولیدشده از نفت متمایز کند.
میکروپلاستیکها همچنین زیر میکروسکوپهای قدرتمند قابل مشاهده بودند: محققان قطعات پلاستیکی با لبههای ناصاف را در سلولهای ایمنی به نام ماکروفاژها و داخل پلاکهای چربی مشاهده کردند. بررسی نمونههای بافتی نشان داد که بیمارانی که پلاستیک در پلاکهایشان داشتند، سطح بالاتری از نشانههای التهابی نیز داشتند.

ذرات پلاستیکی با لبههای ناصاف درون ماکروفاژها و رسوبات چربی شریانهای مسدود مشاهده شد.
با این حال، باید در نظر داشت که یک مطالعه مشاهدهای مانند این، نمیتواند به طور قطعی نتیجه بگیرد که میکروپلاستیکها باعث تأثیرات قلبی بعدی میشوند؛ بلکه فقط نشاندهنده وجود ارتباط است. این مطالعه سایر عوامل خطر برای بیماریهای قلبی-عروقی، مانند سیگار کشیدن، بیتحرکی و آلودگی هوا را در نظر نگرفته است.
فیلیپ جی. لاندریگان، پزشک کودکان، متخصص سلامت عمومی و اپیدمیولوژیست از کالج بوستون، در یک یادداشت همراه توضیح داد: «اگرچه نمیدانیم چه مواجهههای دیگری ممکن است به نتایج نامطلوب در بیماران این مطالعه کمک کرده باشد، کشف میکروپلاستیکها و نانوپلاستیکها در بافت پلاک خود یک دستاورد برجسته است که مجموعهای از پرسشهای فوری را مطرح میکند»، از جمله اینکه چگونه میتوان میزان مواجهه با پلاستیک را کاهش داد.
تولید پلاستیک در دو دهه گذشته به شدت افزایش یافته، اما تنها بخش کوچکی از آن بازیافت شده است؛ با این حال، نرخ بیماریهای قلبی-عروقی در برخی نقاط جهان کاهش یافته است، بنابراین برای درک ارتباط بین این دو موضوع، نیاز به تحقیقات بیشتری وجود دارد.
منبع خبر : sciencealert.com
نظرات کاربران